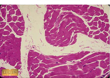
Identify the tissue?
Answer
Skeletal Muscle