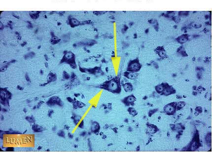
What is the material in the cytoplasm of these cells?
Answer
Nissl Substance (RNA)