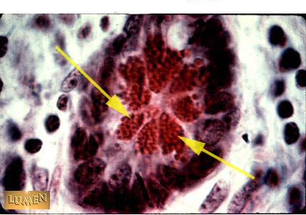
What are these structures?
Answer
Secretory granule