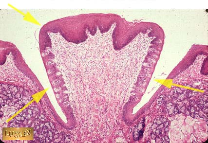
Identify this structure.
Answer
Circumvallate papilla