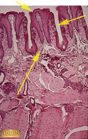
Identify this structure.
Answer
Foliate papillae