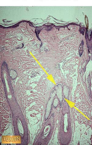
Identify this structure. Be specific.
Answer
Sebaceous glands.