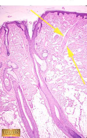
What is this structure?
Answer
Arrector pili muscle