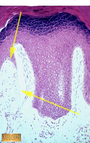
What type of sensory information does this structure pick up?
Answer
Light touch