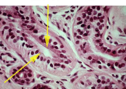
Identify
Answer
Secretory portion of
eccrine sweat gland