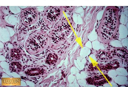
What is this tissue?
Answer
Adipose