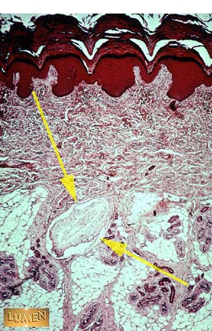
What is this structure?
Answer
Pacinian corpuscle