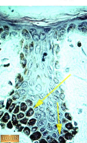
These cells are filled with what dark substance?
Answer
Melanin