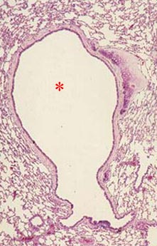
What is the structure indicated by the asterisk?
Answer
Pulmonary Bronchus (note cartilage
in upper right hand corner)