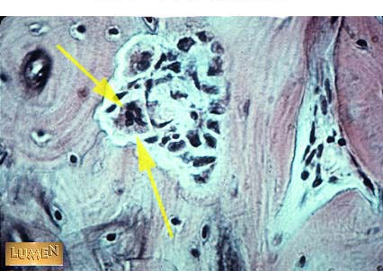
What cell is this?
Answer
Osteoclast