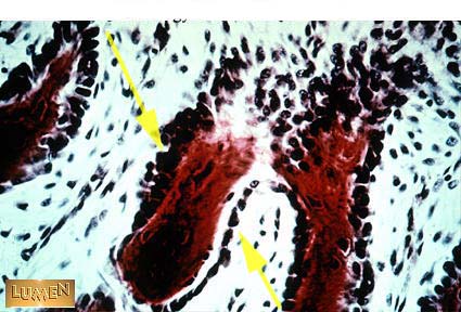
What are these cells?
Answer
Osteoblasts