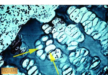
What cells are these?
Answer
Chondrocytes