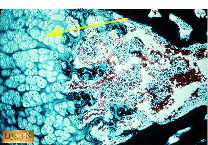
What is this?
Answer
Hypertrophied Cartilage