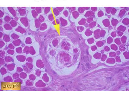
What type of receptor is at the pointer?
Answer
Specialized sensory receptor for
muscle stretch and position sense