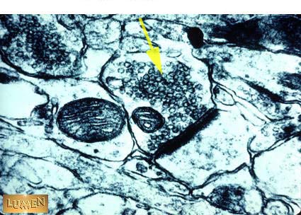
Identify vesicular structures at tip of arrow.
Answer
Synaptic Vessicles