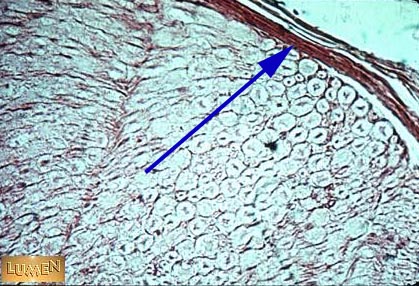
Q1 What is this tissue?
Q2 Name the layer of connective tissue that the arrow is indicating.
Answer 1
Peripheral nerve bundle.
Answer 2
Perineurium