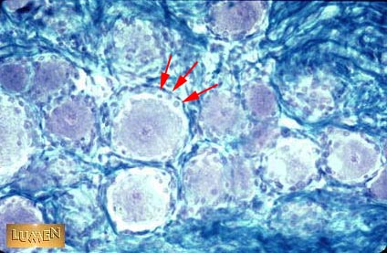
What are these cells called?
Answer
Satellite Cells