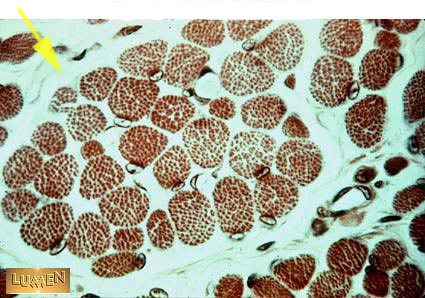
Name this connective tissue delineated by the arrow.
Answer
Perimysium