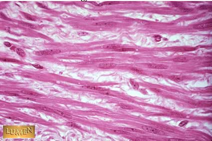
Q1 Name the tissue.
Q2 Name the loose, irregular connective tissue that lies between these cells.
Answer 1
Smooth muscle
Answer 2
Endomysium