Identify
Answer
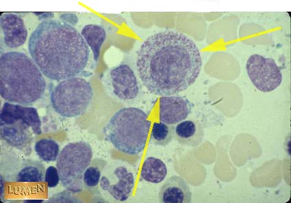
Promyelocyte