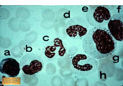
Identify 'c' and 'h'.
Answer 'c'
mature neutrophil
Answer 'h'
neutrophilic band cell