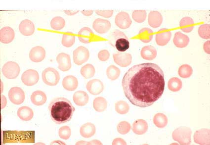
Identify the cell.
Answer
Eosinophilic (orthochromatophilic)
erythroblast