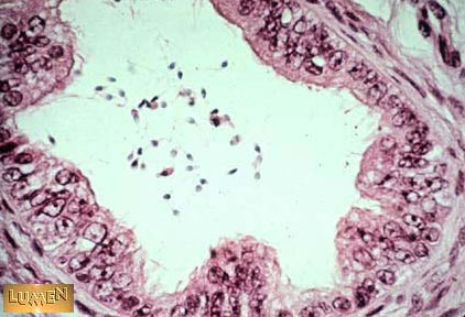
Q1 What type of epithelium lines this structure?
Q2 What is this structure?
Answer 1
pseudostratified columnar
Answer 2
efferent ductule