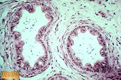
Q1 Name these structures.
Q2 What two structures do they connect?
Answer 1
Efferent ductules
Answer 2
Rete testis and epididymis