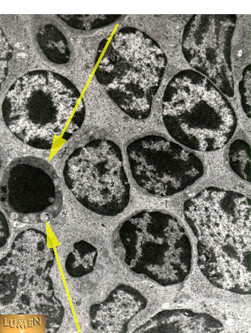
Identify
Answer
Thymocyte undergoing apoptosis