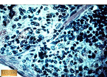
What tissue (seen here) separates splenic sinusoids?
Answer
Red Pulp / Cords of Billroth