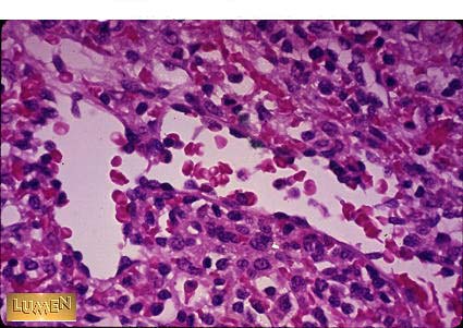
This is the spleen, is this red pulp or white pulp?
Answer
Red Pulp, note sinusoids