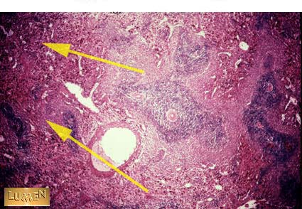
QA What is this region of the spleen called?
QB Why?
Answer A
REd Pulp
Answer B
contains sinusoids
and hematopoietic
tissus