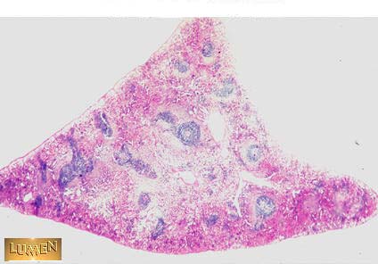
What organ is this?
Answer
Spleen