What organ is this?
Answer
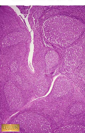
Palatine Tonsil