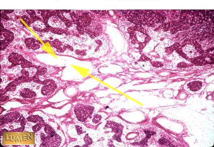
What vessel is this?
Answer
Efferent Lymphatics