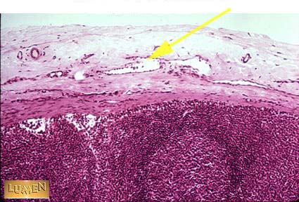
What vessel is this?
Answer
Afferent Lymph vessel