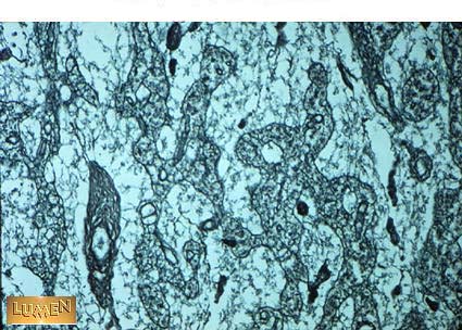
What fiber type is seen here?
Answer
Reticular fibers
(Type III Collagen)