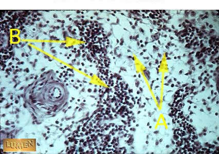
Identify 'A' and 'B'.
Answer A
Medullary Sinus
Answer B
Medullary Cord