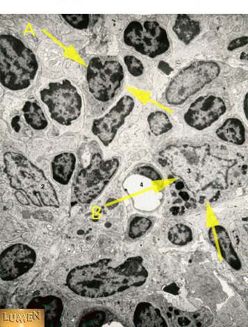
Identify 'A' and 'B'.
Answer A
Lymphocyte
Answer B
Macrophage