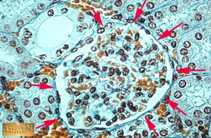
Q1 Identify.
Q2 What are two types of cells found in this structure?
Answer 1
Glomerulus
Answer 2
RBC's, endothelial cells,
mesengial cells, podocytes