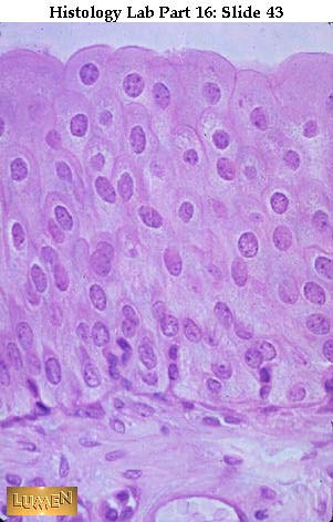
Where can this tissue be found?
Answer
Urinary Tract