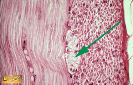
What is this structure between the circular and longitudinal muscle layers of gut?
Answer
Auerbach’s myenteric plexus