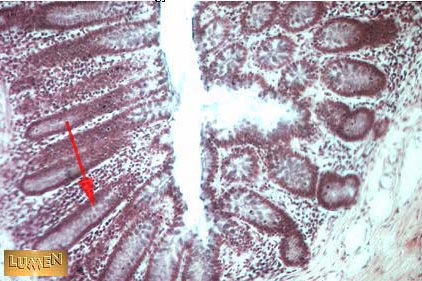
What is the structure indicated by the arrow?
Answer
Crypt of Lieberkuhn