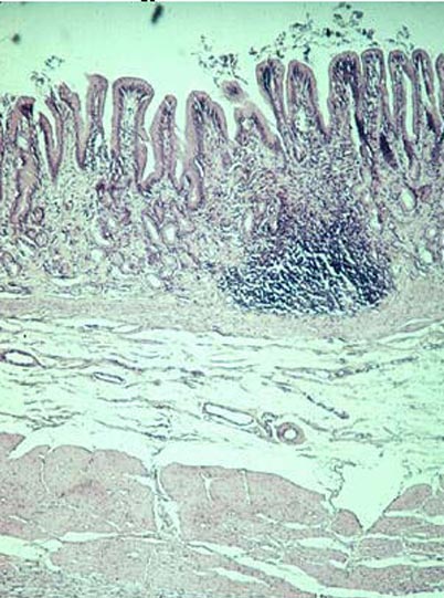
Identify this organ. Be specific!
Answer
pyloric stomach