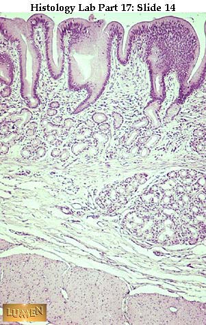
What part of the GI Tract is this?
Answer
Pylorus (just before duodenum)