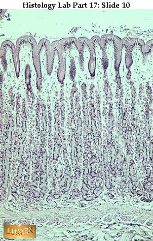
Q1 Where are these glands found?
Q2 What do the glands secrete?
Answer 1
fundus of the stomach
Answer 2
Mucus, HCl, gastrin,
intrinsic factor,
enteroglucagon,
serotonin,
somatostatin,
pepsinogen,
and lipase