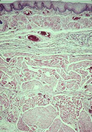
Identify this organ.
Answer
Esophagus