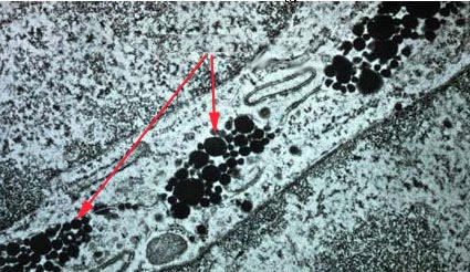
Identify structures indicated by the arrows in the lateral aspect of intestinal absorptive cells.
Answer
Chylomicrons