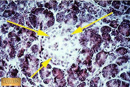
What do these cells secrete?
Answer
Insulin,
glucagon,
and somatostatin.