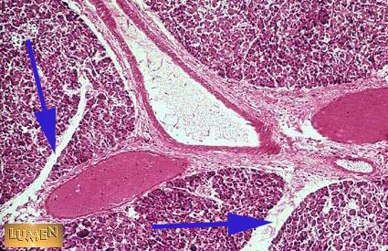
What is this structure in the pancreas?
Answer
Connective tissue septa